NF-κB2 p100/p52 Antibody [D6C15]

製品コード:F8698

印刷

生物学的記述

Specificity NF-κB2 p100/p52 Antibody [D6C15] detects endogenous levels of total NF-κB2 p100/p52 protein.
Background NF-κB2 p100/p52 serves as both a cytoplasmic inhibitor and a mature DNA-binding subunit in the non-canonical NF-κB signaling pathway. Synthesized as a precursor with an N-terminal Rel homology domain (RHD) for DNA binding and dimerization and a C-terminal region rich in ankyrin repeats that functionally mimic IκB proteins, p100 sequesters RelB in the cytoplasm, preventing premature gene activation. Upon stimulation by certain TNF family ligands such as LTβ or BAFF, the non-canonical pathway is triggered, leading to NIK accumulation and activation of IKKα, which phosphorylates p100 at specific serine residues within a C-terminal processing motif. This phosphorylation event marks p100 for partial proteasomal degradation of its inhibitory C-terminus, generating the mature p52 subunit. The resulting RelB/p52 heterodimers translocate to the nucleus and bind κB DNA sites to initiate transcription of genes involved in lymphoid organogenesis, B-cell survival, plasma cell differentiation, and adaptive immunity. Unlike the canonical pathway, which rapidly activates p50/RelA via IKKβ, the non-canonical p100/p52 axis provides slower, tightly regulated control over specific immune processes. Disruption of p100 processing or mutations affecting RelB binding can result in aberrant p52 activity, contributing to lymphoid malignancies, autoimmune disorders, and pathological inflammation.

使用情報

Application WB, IP Dilution
WB IP
1:1000 1:200
Reactivity Human, Mouse, Rat
Source Rabbit Monoclonal Antibody MW 120 kDa , 52 kDa
Storage Buffer PBS, pH 7.2+50% Glycerol+0.05% BSA+0.01% NaN3
Storage
(from the date of receipt)
-20°C (avoid freeze-thaw cycles), 2 years
WB
Experimental Protocol:
 
Sample preparation
1. Tissue: Lyse the tissue sample by adding an appropriate volume of ice-cold RIPA/NP-40 Lysis Buffer (containing Protease Inhibitor Cocktail),and homogenize the tissue at a low temperature.
2. Adherent cell: Aspirate the culture medium and wash the cells with ice-cold PBS twice. Lyse the cells by adding an appropriate volume of RIPA/NP-40 Lysis Buffer (containing Protease Inhibitor Cocktail) and put the sample on ice for 5 min.
3. Suspension cell: Transfer the culture medium to a pre-cooled centrifuge tube. Centrifuge and aspirate the supernatant. Wash the cells with ice-cold PBS twice. Lyse the cells by adding an appropriate volume of RIPA/NP-40 Lysis Buffer (containing Protease Inhibitor Cocktail) and put the sample on ice for 5 min.
4. Place the lysate into a pre-cooled microcentrifuge tube. Centrifuge at 4°C for 15 min. Collect the supernatant;
5. Remove a small volume of lysate to determine the protein concentration;
6. Combine the lysate with protein loading buffer. Boil 20 µL sample under 95-100°C for 5 min. Centrifuge for 5 min after cool down on ice.
 
Electrophoretic separation
1. According to the concentration of extracted protein, load appropriate amount of protein sample and marker onto SDS-PAGE gels for electrophoresis. Recommended separating gel (lower gel) concentration: 10%. Reference Table for Selecting SDS-PAGE Separation Gel Concentrations
2. Power up 80V for 30 minutes. Then the power supply is adjusted (110 V~150 V), the Marker is observed, and the electrophoresis can be stopped when the indicator band of the predyed protein Marker where the protein is located is properly separated. (Note that the current should not be too large when electrophoresis, too large current (more than 150 mA) will cause the temperature to rise, affecting the result of running glue. If high currents cannot be avoided, an ice bath can be used to cool the bath.)
 
Transfer membrane
1. Take out the converter, soak the clip and consumables in the pre-cooled converter;
2. Activate PVDF membrane with methanol for 1 min and rinse with transfer buffer;
3. Install it in the order of "black edge of clip - sponge - filter paper - filter paper - glue -PVDF membrane - filter paper - filter paper - sponge - white edge of clip";
4. The protein was electrotransferred to PVDF membrane. ( 0.45 µm PVDF membrane is recommended ) Reference Table for Selecting PVDF Membrane Pore Size Specifications
Recommended conditions for wet transfer: 200 mA, 120 min.
( Note that the transfer conditions can be adjusted according to the protein size. For high-molecular-weight proteins, a higher current and longer transfer time are recommended. However, ensure that the transfer tank remains at a low temperature to prevent gel melting.)
 
Block
1. After electrotransfer, wash the film with TBST at room temperature for 5 minutes;
2. Incubate the film in the blocking solution for 1 hour at room temperature;
3. Wash the film with TBST for 3 times, 5 minutes each time.
 
Antibody incubation
1. Use 5% skim milk powder to prepare the primary antibody working liquid (recommended dilution ratio for primary antibody 1:1000), gently shake and incubate with the film at 4°C overnight;
2. Wash the film with TBST 3 times, 5 minutes each time;
3. Add the secondary antibody to the blocking solution and incubate with the film gently at room temperature for 1 hour;
4. After incubation, wash the film with TBST 3 times for 5 minutes each time.
 
Antibody staining
1. Add the prepared ECL luminescent substrate (or select other color developing substrate according to the second antibody) and mix evenly;
2. Incubate with the film for 1 minute, remove excess substrate (keep the film moist), wrap with plastic film, and expose in the imaging system.

References

  • https://pubmed.ncbi.nlm.nih.gov/15214841/
  • https://pubmed.ncbi.nlm.nih.gov/11239468/

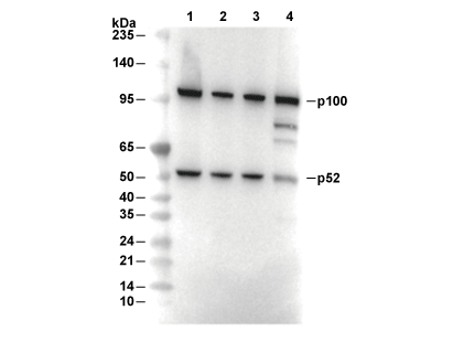
Application Data

WB

Validated by Selleck

  • F8698-wb.gif
    Lane 1: 3T3, Lane 2: C2C12, Lane 3: L929, Lane 4: YB2/0