Nav1.8/SCN10A Antibody [F24B8]

Catalog No.: F3462

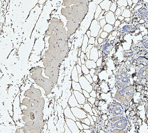
    Application: Reactivity:
    • Immunohistochemical analysis of formalin fixed paraffin embedded mouse skin tissue with F3462 at 1:100 dilution.
    1/
    サイズ 価格(税別) 在庫状況
    JPY 17300 国内在庫なし(納期7~10日)
    JPY 40000 国内在庫なし(納期7~10日)
    JPY 64000 お問い合わせ

    代表番号: 045-509-1970|電子メール:sales@selleck.co.jp
    よく尋ねられる質問

    使用情報

    Dilution
    1:100
    Application
    IHC
    Source
    Mouse Monoclonal Antibody
    Reactivity
    Mouse, Rat
    Storage Buffer
    PBS, pH 7.2+50% Glycerol+0.05% BSA+0.01% NaN3
    Storage (from the date of receipt)
    -20°C (avoid freeze-thaw cycles), 2 years
    ポジティブコントロール Mouse dorsal root ganglia; Rat dorsal root ganglia
    ネガティブコントロール

    プロトコール

    IHC
    Experimental Protocol:
     
    Deparaffinization/Rehydration
    1. Deparaffinize/hydrate sections:
    2. Incubate sections in three washes of xylene for 5 min each.
    3. Incubate sections in two washes of 100% ethanol for 10 min each.
    4. Incubate sections in two washes of 95% ethanol for 10 min each.
    5. Wash sections two times in dH2O for 5 min each.
    6.Antigen retrieval: For Citrate: Heat slides in a microwave submersed in 1X citrate unmasking solution until boiling is initiated; continue with 10 min at a sub-boiling temperature (95°-98°C). Cool slides on bench top for 30 min.
     
    Staining
    1. Wash sections in dH2O three times for 5 min each.
    2. Incubate sections in 3% hydrogen peroxide for 10 min.
    3. Wash sections in dH2O two times for 5 min each.
    4. Wash sections in wash buffer for 5 min.
    5. Block each section with 100–400 µl of blocking solution for 1 hr at room temperature.
    6. Remove blocking solution and add 100–400 µl primary antibody diluent in to each section. Incubate overnight at 4°C.
    7. Remove antibody solution and wash sections with wash buffer three times for 5 min each.
    8. Cover section with 1–3 drops HRPas needed. Incubate in a humidified chamber for 30 min at room temperature.
    9. Wash sections three times with wash buffer for 5 min each.
    10. Add DAB Chromogen Concentrate to DAB Diluent and mix well before use.
    11. Apply 100–400 µl DAB to each section and monitor closely. 1–10 min generally provides an acceptable staining intensity.
    12. Immerse slides in dH2O.
    13. If desired, counterstain sections with hematoxylin.
    14. Wash sections in dH2O two times for 5 min each.
    15. Dehydrate sections: Incubate sections in 95% ethanol two times for 10 sec each; Repeat in 100% ethanol, incubating sections two times for 10 sec each; Repeat in xylene, incubating sections two times for 10 sec each.
    16. Mount sections with coverslips and mounting medium.
     

    Datasheet & SDS

    生物学的記述

    Specificity

    Nav1.8/SCN10A Antibody [F24B8] detects endogenous levels of total Nav1.8/SCN10A protein.

    タンパク質の局在
    細胞膜、細胞内膜系
    Uniprot ID
    Q9Y5Y9
    Clone
    F24B8
    Synonym(s)
    Sodium channel protein type 10 subunit alpha, Peripheral nerve sodium channel 3, Sodium channel protein type X subunit alpha, Voltage-gated sodium channel subunit alpha Nav1.8, PN3, hPN3, SCN10A
    Background
    Nav1.8/SCN10A, encoded by the SCN10A gene, is a voltage-gated sodium channel α-subunit belonging to the TTX-resistant class, characterized by a cysteine substitution in its pore region that confers resistance to nanomolar tetrodotoxin inhibition. Structurally, it is a large transmembrane protein with four homologous domains (I–IV), each containing six membrane-spanning segments (S1–S6) that form the voltage-sensing and pore-forming regions, and is often associated with β-subunits that modulate gating and trafficking. NaV1.8 is predominantly expressed in small- and medium-diameter nociceptive sensory neurons of dorsal root ganglia (DRG) and cranial sensory ganglia, but is also present in peripheral neural elements of the heart, particularly intracardiac ganglia, while absent from cardiomyocytes. Functionally, NaV1.8 activates at relatively depolarized potentials, inactivates slowly, and maintains sodium currents at subthreshold voltages, enabling repetitive action potential firing and sustained excitability, especially at low temperatures. In DRG neurons, it plays a key role in pain signaling by amplifying excitability near the action potential threshold and interacting with NaV1.7, whereas in intracardiac neurons it regulates firing frequency and neurotransmitter release, potentially modulating cardiac conduction through neural control rather than direct myocyte depolarization.
    References

    技術サポート

    ストックの作り方、阻害剤の保管方法、細胞実験や動物実験の際に注意すべき点など、製品を取扱う時に問い合わせが多かった質問に対しては取扱説明書でお答えしています。

    Handling Instructions

    他に質問がある場合は、お気軽にお問い合わせください。

    * 必須

    大学・企業名を記入してください
    名前を記入してください
    電子メール・アドレスを記入してください 有効なメールアドレスを入力してください
    お問い合わせ内容をご入力ください