Rictor Antibody [H4J16]

Catalog No.: F0260

    Application: Reactivity:
    • Lane 1: 293, Lane 2: Hela, Lane 3: HepG2, Lane 4: PANC1, Lane 5: RD, Lane 6: A204, Lane 7: SH-SY5Y, Lane 8: C2C12
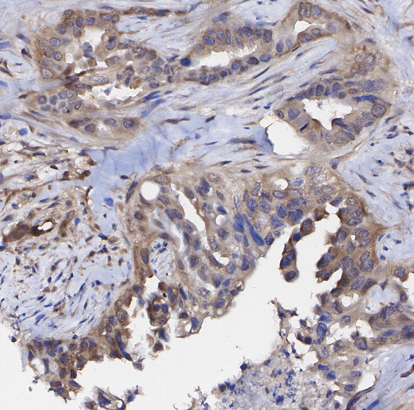
    • Immunohistochemical analysis of formalin fixed paraffin embedded human Lung adenocarcinoma tissue with F0260 at 1/50 dilution.
    1/
    サイズ (液体) 価格(税別) 在庫状況
    JPY 24800 国内在庫あり
    JPY 60800 国内在庫あり
    JPY 91200 お問い合わせ

    代表番号: 045-509-1970|電子メール:sales@selleck.co.jp
    よく尋ねられる質問

    カスタマーフィードバック(1)

    キーポイント

    WB
    SDS-PAGE の分離ゲルの推奨濃度:5%

    使用情報

    Dilution
    1:1000
    1:50 - 1:400
    Application
    WB
    Source
    Rabbit Monoclonal Antibody
    Reactivity
    Human, Mouse, Rat, Monkey
    Storage Buffer
    PBS, pH 7.2+50% Glycerol+0.05% BSA+0.01% NaN₃
    Storage (from the date of receipt)
    –20°C (avoid freeze-thaw cycles), 2 years
    Predicted MW
    200 kDa
    ポジティブコントロール HepG2; Hela; 293; PANC1; RD; A204; C2C12; SH-SY5Y
    ネガティブコントロール

    プロトコール

    WB
    Experimental Protocol:
     
    Sample preparation
    1. Tissue: Lyse the tissue sample by adding an appropriate volume of ice-cold RIPA/NP-40 Lysis Buffer (containing Protease Inhibitor Cocktail),and homogenize the tissue at a low temperature or lyse it by sonication on ice, then incubate on ice for 30 minutes.
    2. Adherent cell: Aspirate the culture medium and transfer the cells into an EP tube. Wash the cells with ice-cold PBS twice. Add an appropriate volume of RIPA/NP-40 Lysis Buffer (containing Protease Inhibitor Cocktail), sonicate to lyse the cells, and incubate on ice for 30 minutes.
    3. Suspension cell: Transfer the culture medium to a pre-cooled centrifuge tube. Centrifuge and aspirate the supernatant. Wash the cells with ice-cold PBS twice.Add an appropriate volume of RIPA/NP-40 Lysis Buffer (containing Protease Inhibitor Cocktail), sonicate to lyse the cells, and incubate on ice for 30 minutes.
    4. Place the lysate into a pre-cooled microcentrifuge tube. Centrifuge at 4°C for 15 min. Collect the supernatant;
    5. Remove a small volume of lysate to determine the protein concentration;
    6. Combine the lysate with protein loading buffer. Boil 20 µL sample under 95-100°C for 5 min. Centrifuge for 5 min after cool down on ice.
     
    Electrophoretic separation
    1. According to the concentration of extracted protein, load appropriate amount of protein sample and marker onto SDS-PAGE gels for electrophoresis. Recommended separating gel (lower gel) concentration: 5%. Reference Table for Selecting SDS-PAGE Separation Gel Concentrations
    2. Power up 80V for 30 minutes. Then the power supply is adjusted (110 V~150 V), the Marker is observed, and the electrophoresis can be stopped when the indicator band of the predyed protein Marker where the protein is located is properly separated. (Note that the current should not be too large when electrophoresis, too large current (more than 150 mA) will cause the temperature to rise, affecting the result of running glue. If high currents cannot be avoided, an ice bath can be used to cool the bath.)
     
    Transfer membrane
    1. Take out the converter, soak the clip and consumables in the pre-cooled converter;
    2. Activate PVDF membrane with methanol for 1 min and rinse with transfer buffer;
    3. Install it in the order of "black edge of clip - sponge - filter paper - filter paper - glue -PVDF membrane - filter paper - filter paper - sponge - white edge of clip";
    4. The protein was electrotransferred to PVDF membrane. ( 0.45 µm PVDF membrane is recommended ) Reference Table for Selecting PVDF Membrane Pore Size Specifications
    Recommended conditions for wet transfer: 200 mA, 120 min.
    ( Note that the transfer conditions can be adjusted according to the protein size. For high-molecular-weight proteins, a higher current and longer transfer time are recommended. However, ensure that the transfer tank remains at a low temperature to prevent gel melting.)
     
    Block
    1. After electrotransfer, wash the film with TBST at room temperature for 5 minutes;
    2. Incubate the film in the blocking solution for 1 hour at room temperature;
    3. Wash the film with TBST for 3 times, 5 minutes each time.
     
    Antibody incubation
    1. Use 5% skim milk powder to prepare the primary antibody working liquid (recommended dilution ratio for primary antibody 1:1000), gently shake and incubate with the film at 4°C overnight;
    2. Wash the film with TBST 3 times, 5 minutes each time;
    3. Add the secondary antibody to the blocking solution and incubate with the film gently at room temperature for 1 hour;
    4. After incubation, wash the film with TBST 3 times for 5 minutes each time.
     
    Antibody staining
    32. Add the prepared ECL luminescent substrate (or select other color developing substrate according to the second antibody) and mix evenly;
    2. Incubate with the film for 1 minute, remove excess substrate (keep the film moist), wrap with plastic film, and expose in the imaging system.
    IF
    Experimental Protocol:
     
    Sample Preparation
    1. Adherent Cells: Place a clean, sterile coverslip in a culture dish. Once the cells grow to near confluence as a monolayer, remove the coverslip for further use.
    2. Suspension Cells: Seed the cells onto a clean, sterile slide coated with poly-L-lysine.
    3. Frozen Sections: Allow the slide to thaw at room temperature. Wash it with pure water or PBS for 2 times, 3 minutes each time.
    4. Paraffin Sections: Deparaffinization and rehydration. Wash the slide with pure water or PBS for 3 times, 3 minutes each time. Then perform antigen retrieval.
     
    Fixation
    1. Fix the cell coverslips/spots or tissue sections at room temperature using a fixative such as 4% paraformaldehyde (4% PFA) for 10-15 minutes.
    2. Wash the sample with PBS for 3 times, 3 minutes each time.
     
    Permeabilization
    1.Add a detergent such as 0.1–0.3% Triton X-100 to the sample and incubate at room temperature for 10–20 minutes.
    (Note: This step is only required for intracellular antigens. For antigens expressed on the cell membrane, this step is unnecessary.)
    Wash the sample with PBS for 3 times, 3 minutes each time.
     
    Blocking
    Add blocking solution and incubate at room temperature for at least 1 hour. (Common blocking solutions include: serum from the same source as the secondary antibody, BSA, or goat serum.)
    Note: Ensure the sample remains moist during and after the blocking step to prevent drying, which can lead to high background.
     
    Immunofluorescence Staining (Day 1)
    1. Remove the blocking solution and add the diluted primary antibody.
    2. Incubate the sample in a humidified chamber at 4°C overnight.
     
    Immunofluorescence Staining (Day 2)
    1. Remove the primary antibody and wash with PBST for 3 times, 5 minutes each time.
    2. Add the diluted fluorescent secondary antibody and incubate in the dark at 4°C for 1–2 hours.
    3. Remove the secondary antibody and wash with PBST for 3 times, 5 minutes each time.
    4. Add diluted DAPI and incubate at room temperature in the dark for 5–10 minutes.
    5. Wash with PBST for 3 times, 5 minutes each time.
     
    Mounting
    1. Mount the sample with an anti-fade mounting medium.
    2. Allow the slide to dry at room temperature overnight in the dark.
    3. Store the slide in a slide storage box at 4°C, protected from light.

    Datasheet & SDS

    生物学的記述

    Specificity

    Rictor Antibody [H4J16] recognizes endogenous levels of total Rictor protein.

    タンパク質の局在
    細胞質ゾル、ゴルジ装置
    Uniprot ID
    Q6R327
    Clone
    H4J16
    Background

    Receptor tyrosine kinases (RTKs) are cellular receptors that respond to signals from growth factors and hormones, playing a vital role in cell communication and controlling processes like proliferation and survival. RTKs consist of three parts: a ligand-binding region, a transmembrane helix, and a cytoplasmic domain with tyrosine kinase activity. Activation of RTKs occurs through ligand-induced dimerization and auto-phosphorylation, leading to downstream signaling. These pathways include the MAPK pathway, which regulates cell proliferation and differentiation, and the PI3K pathway, which controls cell survival and growth. One key player in the PI3K pathway is the mTORC2 complex, which includes the protein RICTOR. RICTOR is frequently overexpressed in tumoral cells, often due to gene amplification, and its overexpression can be associated with the deregulation of miRNA expression, transcription factors, and epigenetic modifications. Moreover, RICTOR has both AKT-dependent and AKT-independent activities, contributing to oncogenic potential and tumor progression. Targeting RICTOR/mTORC2 has emerged as a promising therapeutic strategy for RTK-driven tumors, offering potential avenues for more effective cancer treatments.

    References

    技術サポート

    ストックの作り方、阻害剤の保管方法、細胞実験や動物実験の際に注意すべき点など、製品を取扱う時に問い合わせが多かった質問に対しては取扱説明書でお答えしています。

    Handling Instructions

    他に質問がある場合は、お気軽にお問い合わせください。

    * 必須

    大学・企業名を記入してください
    名前を記入してください
    電子メール・アドレスを記入してください 有効なメールアドレスを入力してください
    お問い合わせ内容をご入力ください