CaV1.3 Antibody [G19D14]

Catalog No.: F3798

    Application: Reactivity:
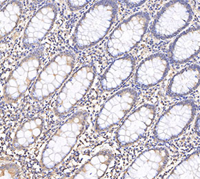
    • Immunohistochemical analysis of formalin fixed paraffin embedded human colorectal cancer tissue with F3798 at 1:1000 dilution.
    1/
    サイズ 価格(税別) 在庫状況
    JPY 17300 国内在庫なし(納期7~10日)
    JPY 40000 国内在庫なし(納期7~10日)
    JPY 64000 お問い合わせ

    代表番号: 045-509-1970|電子メール:sales@selleck.co.jp
    よく尋ねられる質問

    使用情報

    Dilution
    1:100
    Application
    IHC, FCM
    Source
    Mouse Monoclonal Antibody
    Reactivity
    Human, Mouse
    Storage Buffer
    PBS, pH 7.2+50% Glycerol+0.05% BSA+0.01% NaN3
    Storage (from the date of receipt)
    -20°C (avoid freeze-thaw cycles), 2 years
    ポジティブコントロール Human hippocampus; Mouse backskin; SH-SY5Y
    ネガティブコントロール

    プロトコール

    IHC
    Experimental Protocol:
     
    Deparaffinization/Rehydration
    1. Deparaffinize/hydrate sections:
    2. Incubate sections in three washes of xylene for 5 min each.
    3. Incubate sections in two washes of 100% ethanol for 10 min each.
    4. Incubate sections in two washes of 95% ethanol for 10 min each.
    5. Wash sections two times in dH2O for 5 min each.
    6.Antigen retrieval: For Citrate: Heat slides in a microwave submersed in 1X citrate unmasking solution until boiling is initiated; continue with 10 min at a sub-boiling temperature (95°-98°C). Cool slides on bench top for 30 min.
     
    Staining
    1. Wash sections in dH2O three times for 5 min each.
    2. Incubate sections in 3% hydrogen peroxide for 10 min.
    3. Wash sections in dH2O two times for 5 min each.
    4. Wash sections in wash buffer for 5 min.
    5. Block each section with 100–400 µl of blocking solution for 1 hr at room temperature.
    6. Remove blocking solution and add 100–400 µl primary antibody diluent in to each section. Incubate overnight at 4°C.
    7. Remove antibody solution and wash sections with wash buffer three times for 5 min each.
    8. Cover section with 1–3 drops HRPas needed. Incubate in a humidified chamber for 30 min at room temperature.
    9. Wash sections three times with wash buffer for 5 min each.
    10. Add DAB Chromogen Concentrate to DAB Diluent and mix well before use.
    11. Apply 100–400 µl DAB to each section and monitor closely. 1–10 min generally provides an acceptable staining intensity.
    12. Immerse slides in dH2O.
    13. If desired, counterstain sections with hematoxylin.
    14. Wash sections in dH2O two times for 5 min each.
    15. Dehydrate sections: Incubate sections in 95% ethanol two times for 10 sec each; Repeat in 100% ethanol, incubating sections two times for 10 sec each; Repeat in xylene, incubating sections two times for 10 sec each.
    16. Mount sections with coverslips and mounting medium.
     

    Datasheet & SDS

    生物学的記述

    Specificity

    CaV1.3 Antibody [G19D14] detects endogenous levels of total CaV1.3 protein.

    タンパク質の局在
    細胞内膜系
    Uniprot ID
    Q01668
    Clone
    G19D14
    Synonym(s)
    CACH3, CACN4, CACNL1A2, CCHL1A2, CACNA1D, Voltage-dependent L-type calcium channel subunit alpha-1D, Voltage-gated calcium channel subunit alpha Cav1.3.
    Background
    Cardiac excitation–contraction coupling refers to the sequence of events in which electrical stimulation of a cardiomyocyte triggers muscle contraction in the heart. L-type Ca²⁺ channels are critical to this process, as they facilitate calcium influx and contribute to membrane excitability. Four L-type Ca²⁺ channel subtypes have been identified: Cav1.1, Cav1.2, Cav1.3, and Cav1.4. Cav1.1 is predominantly found in skeletal muscle, while Cav1.4 is mainly expressed in the retina and certain immune cells. Cav1.3 is present in the heart, somatodendritic regions of neurons, endocrine cells, and sensory cells. In the heart, Cav1.3 activity is modulated by multiple neurotransmitters. Phosphorylation by cAMP-dependent protein kinase A (PKA) occurs at serine residues 1743 and 1816 within the C-terminal region. Protein kinase C (PKC) also regulates Cav1.3 in an isozyme-specific manner via phosphorylation at serine 81 in the N-terminal domain. Additionally, alternative splicing within the C-terminus influences channel behavior, notably decreasing Ca²⁺-dependent inactivation. Functionally, Cav1.3 contributes to cardiac pacemaking and atrioventricular (AV) conduction. Dysfunction of Cav1.3 has been associated with sinoatrial node and AV node abnormalities, as well as the development of atrial fibrillation.
    References

    技術サポート

    ストックの作り方、阻害剤の保管方法、細胞実験や動物実験の際に注意すべき点など、製品を取扱う時に問い合わせが多かった質問に対しては取扱説明書でお答えしています。

    Handling Instructions

    他に質問がある場合は、お気軽にお問い合わせください。

    * 必須

    大学・企業名を記入してください
    名前を記入してください
    電子メール・アドレスを記入してください 有効なメールアドレスを入力してください
    お問い合わせ内容をご入力ください