CNOT6 Antibody [L8P21]

Catalog No.: F1278

    Application: Reactivity:
    • Lane 1: 293 , Lane 2: 293 (transfected with hCNOT6-Myc/DDK) , Lane 3: HepG2 , Lane 4: DLD-1 , Lane 5: SW620 , Lane 6: Hela , Lane 7: ZR-75-1
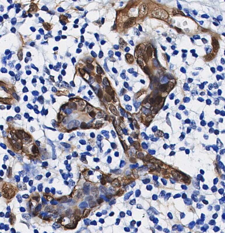
    • Immunohistochemical analysis of formalin fixed paraffin embedded human Breast Cancer tissue with F1278 at 1/100 dilution.
    1/
    サイズ (液体) 価格(税別) 在庫状況
    JPY 18400 国内在庫なし(納期7~10日)
    JPY 60800 国内在庫なし(納期7~10日)
    JPY 91200 お問い合わせ

    代表番号: 045-509-1970|電子メール:sales@selleck.co.jp
    よく尋ねられる質問

    使用情報

    Dilution
    1:1000
    Application
    WB
    Source
    Rabbit Monoclonal Antibody
    Reactivity
    Human
    Storage Buffer
    PBS, pH 7.2+50% Glycerol+0.05% BSA+0.01% NaN₃
    Storage (from the date of receipt)
    –20°C (avoid freeze-thaw cycles), 2 years
    Predicted MW
    60 Kda
    ポジティブコントロール HeLa; SW620; ZR-75-1; Hep G2; DLD-1
    ネガティブコントロール

    サンプル処理データの例

    サンプル 処理状況
    293 Tansfection (hCNOT6-Myc/DDK )
    クリックして、さらに多くのサンプルデータを表示

    *異なるヒト由来細胞や組織における発現量の予測については、以下をご参照ください: http://www.proteinatlas.org

    プロトコール

    WB
    Experimental Protocol:
     
    Sample preparation
    1. Tissue: Lyse the tissue sample by adding an appropriate volume of ice-cold RIPA/NP-40 Lysis Buffer (containing Protease Inhibitor Cocktail),and homogenize the tissue at a low temperature or lyse it by sonication on ice, then incubate on ice for 30 minutes.
    2. Adherent cell: Aspirate the culture medium and transfer the cells into an EP tube. Wash the cells with ice-cold PBS twice. Add an appropriate volume of RIPA/NP-40 Lysis Buffer (containing Protease Inhibitor Cocktail), sonicate to lyse the cells, and incubate on ice for 30 minutes.
    3. Suspension cell: Transfer the culture medium to a pre-cooled centrifuge tube. Centrifuge and aspirate the supernatant. Wash the cells with ice-cold PBS twice.Add an appropriate volume of RIPA/NP-40 Lysis Buffer (containing Protease Inhibitor Cocktail), sonicate to lyse the cells, and incubate on ice for 30 minutes.
    4. Place the lysate into a pre-cooled microcentrifuge tube. Centrifuge at 4°C for 15 min. Collect the supernatant;
    5. Remove a small volume of lysate to determine the protein concentration;
    6. Combine the lysate with protein loading buffer. Boil 20 µL sample under 95-100°C for 5 min. Centrifuge for 5 min after cool down on ice.
     
    Electrophoretic separation
    1. According to the concentration of extracted protein, load appropriate amount of protein sample and marker onto SDS-PAGE gels for electrophoresis. Recommended separating gel (lower gel) concentration: 10%. Reference Table for Selecting SDS-PAGE Separation Gel Concentrations
    2. Power up 80V for 30 minutes. Then the power supply is adjusted (110 V~150 V), the Marker is observed, and the electrophoresis can be stopped when the indicator band of the predyed protein Marker where the protein is located is properly separated. (Note that the current should not be too large when electrophoresis, too large current (more than 150 mA) will cause the temperature to rise, affecting the result of running glue. If high currents cannot be avoided, an ice bath can be used to cool the bath.)
     
    Transfer membrane
    1. Take out the converter, soak the clip and consumables in the pre-cooled converter;
    2. Activate PVDF membrane with methanol for 1 min and rinse with transfer buffer;
    3. Install it in the order of "black edge of clip - sponge - filter paper - filter paper - glue -PVDF membrane - filter paper - filter paper - sponge - white edge of clip";
    4. The protein was electrotransferred to PVDF membrane. ( 0.45 µm PVDF membrane is recommended ) Reference Table for Selecting PVDF Membrane Pore Size Specifications
    Recommended conditions for wet transfer: 200 mA, 120 min.
    ( Note that the transfer conditions can be adjusted according to the protein size. For high-molecular-weight proteins, a higher current and longer transfer time are recommended. However, ensure that the transfer tank remains at a low temperature to prevent gel melting.)
     
    Block
    1. After electrotransfer, wash the film with TBST at room temperature for 5 minutes;
    2. Incubate the film in the blocking solution for 1 hour at room temperature;
    3. Wash the film with TBST for 3 times, 5 minutes each time.
     
    Antibody incubation
    1. Use 5% skim milk powder to prepare the primary antibody working liquid (recommended dilution ratio for primary antibody 1:1000), gently shake and incubate with the film at 4°C overnight;
    2. Wash the film with TBST 3 times, 5 minutes each time;
    3. Add the secondary antibody to the blocking solution and incubate with the film gently at room temperature for 1 hour;
    4. After incubation, wash the film with TBST 3 times for 5 minutes each time.
     
    Antibody staining
    578. Add the prepared ECL luminescent substrate (or select other color developing substrate according to the second antibody) and mix evenly;
    2. Incubate with the film for 1 minute, remove excess substrate (keep the film moist), wrap with plastic film, and expose in the imaging system.

    Datasheet & SDS

    生物学的記述

    Specificity

    CNOT6 Antibody [L8P21] recognizes endogenous levels of total CNOT6 protein.

    タンパク質の局在
    細胞質、細胞核
    Uniprot ID
    Q9ULM6
    Clone
    L8P21
    Background

    The CCR4-NOT (CNOT) complex, an evolutionarily conserved entity, is pivotal in regulating mRNA metabolism across various stages, including transcription initiation, elongation, deadenylation, and degradation in eukaryotic cells. This complex comprises multiple components  such as CNOT1, CNOT2, CNOT3, CNOT4, CNOT6, CNOT6L, CNOT7, CNOT8, CNOT9, and CNOT10. Among these, CNOT6 is the mammalian homolog of the yeast CCR4 subunit and is involved in the CCR4-NOT complex's deadenylation function. CNOT6 plays a significant role in the DNA damage response (DDR), safeguarding cells from senescence and death. Altered expression of CNOT6 is detected in acute leukemia and androgen-independent prostate cancer cells, and single-nucleotide polymorphisms (SNPs) in CNOT6 are associated with pediatric acute lymphoblastic leukemia and lung cancer. Depletion of CNOT6 significantly lowers the mutation frequency in MMR-proficient cells and increases genomic stability.

    References

    技術サポート

    ストックの作り方、阻害剤の保管方法、細胞実験や動物実験の際に注意すべき点など、製品を取扱う時に問い合わせが多かった質問に対しては取扱説明書でお答えしています。

    Handling Instructions

    他に質問がある場合は、お気軽にお問い合わせください。

    * 必須

    大学・企業名を記入してください
    名前を記入してください
    電子メール・アドレスを記入してください 有効なメールアドレスを入力してください
    お問い合わせ内容をご入力ください