Collagen IV Antibody [E5G18]

Catalog No.: F1667

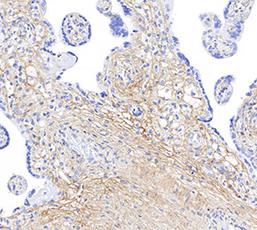
    Application: Reactivity:
    • Immunohistochemical analysis of formalin fixed paraffin embedded human placenta tissue with F1667 at 1:125 dilution.
    1/
    サイズ 価格(税別) 在庫状況
    JPY 27800 国内在庫なし(納期7~10日)
    JPY 64000 国内在庫なし(納期7~10日)
    JPY 96000 お問い合わせ

    代表番号: 045-509-1970|電子メール:sales@selleck.co.jp
    よく尋ねられる質問

    使用情報

    Dilution
    1:100-1:250
    Application
    IHC
    Source
    Mouse Monoclonal Antibody
    Reactivity
    Human
    Storage Buffer
    PBS, pH 7.2+50% Glycerol+0.05% BSA+0.01% NaN3
    Storage (from the date of receipt)
    -20°C (avoid freeze-thaw cycles), 2 years
    ポジティブコントロール Human ovary; Human tongue
    ネガティブコントロール

    プロトコール

    IHC
    Experimental Protocol:
     
    Deparaffinization/Rehydration
    1. Deparaffinize/hydrate sections:
    2. Incubate sections in three washes of xylene for 5 min each.
    3. Incubate sections in two washes of 100% ethanol for 10 min each.
    4. Incubate sections in two washes of 95% ethanol for 10 min each.
    5. Wash sections two times in dH2O for 5 min each.
    6.Antigen retrieval: For Citrate: Heat slides in a microwave submersed in 1X citrate unmasking solution until boiling is initiated; continue with 10 min at a sub-boiling temperature (95°-98°C). Cool slides on bench top for 30 min.
     
    Staining
    1. Wash sections in dH2O three times for 5 min each.
    2. Incubate sections in 3% hydrogen peroxide for 10 min.
    3. Wash sections in dH2O two times for 5 min each.
    4. Wash sections in wash buffer for 5 min.
    5. Block each section with 100–400 µl of blocking solution for 1 hr at room temperature.
    6. Remove blocking solution and add 100–400 µl primary antibody diluent in to each section. Incubate overnight at 4°C.
    7. Remove antibody solution and wash sections with wash buffer three times for 5 min each.
    8. Cover section with 1–3 drops HRPas needed. Incubate in a humidified chamber for 30 min at room temperature.
    9. Wash sections three times with wash buffer for 5 min each.
    10. Add DAB Chromogen Concentrate to DAB Diluent and mix well before use.
    11. Apply 100–400 µl DAB to each section and monitor closely. 1–10 min generally provides an acceptable staining intensity.
    12. Immerse slides in dH2O.
    13. If desired, counterstain sections with hematoxylin.
    14. Wash sections in dH2O two times for 5 min each.
    15. Dehydrate sections: Incubate sections in 95% ethanol two times for 10 sec each; Repeat in 100% ethanol, incubating sections two times for 10 sec each; Repeat in xylene, incubating sections two times for 10 sec each.
    16. Mount sections with coverslips and mounting medium.
     

    Datasheet & SDS

    生物学的記述

    Specificity

    Collagen IV Antibody [E5G18] detects endogenous levels of total Collagen IV protein.

    タンパク質の局在
    基底膜、細胞外マトリックス、細胞外環境
    Uniprot ID
    P02462
    Clone
    E5G18
    Synonym(s)
    Collagen alpha-1(IV) chain, COL4A1
    Background
    Collagen IV is the primary structural collagen of basement membranes, specialized extracellular matrices that provide mechanical support, regulate cell adhesion, and organize other matrix components. It is a heterotrimer composed of combinations of six α-chains (α1–α6) encoded by distinct genes, typically arranged as two α1 and one α2 chains in most tissues, assembled intracellularly into triple-helical protomers. These protomers are secreted and crosslinked via their NC1 and 7S domains to form a stable, sheet-like network that tethers laminins, proteoglycans, and growth factors. Collagen IV is widely expressed in epithelial and endothelial basement membranes, with tissue-specific isoform composition, and plays essential roles in development, tissue integrity, cell migration, and signaling through integrins such as α1β1 and α2β1. Defects or aberrant crosslinking of collagen IV contribute to diverse pathologies, including Alport syndrome, Goodpasture’s disease, diabetic nephropathy, and certain dermatological disorders.
    References

    技術サポート

    ストックの作り方、阻害剤の保管方法、細胞実験や動物実験の際に注意すべき点など、製品を取扱う時に問い合わせが多かった質問に対しては取扱説明書でお答えしています。

    Handling Instructions

    他に質問がある場合は、お気軽にお問い合わせください。

    * 必須

    大学・企業名を記入してください
    名前を記入してください
    電子メール・アドレスを記入してください 有効なメールアドレスを入力してください
    お問い合わせ内容をご入力ください