Collagen VII Antibody [K3G14]

Catalog No.: F3214

    Application: Reactivity:
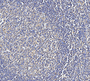
    • Immunohistochemical analysis of formalin fixed paraffin embedded human tonsils tissue with F3214 at 1:500 dilution.
    1/
    サイズ 価格(税別) 在庫状況
    JPY 17300 国内在庫なし(納期7~10日)
    JPY 40000 国内在庫なし(納期7~10日)
    JPY 64000 お問い合わせ

    代表番号: 045-509-1970|電子メール:sales@selleck.co.jp
    よく尋ねられる質問

    使用情報

    Dilution
    1:300 - 1:600
    Application
    IHC-Fr
    Source
    Mouse Monoclonal Antibody
    Reactivity
    Human
    Storage Buffer
    PBS, pH 7.2+50% Glycerol+0.05% BSA+0.01% NaN3
    Storage (from the date of receipt)
    -20°C (avoid freeze-thaw cycles), 2 years
    ポジティブコントロール Human tonsil
    ネガティブコントロール

    プロトコール

    IHC
    Experimental Protocol:
     
    Deparaffinization/Rehydration
    1. Deparaffinize/hydrate sections:
    2. Incubate sections in three washes of xylene for 5 min each.
    3. Incubate sections in two washes of 100% ethanol for 10 min each.
    4. Incubate sections in two washes of 95% ethanol for 10 min each.
    5. Wash sections two times in dH2O for 5 min each.
    6.Antigen retrieval: For Citrate: Heat slides in a microwave submersed in 1X citrate unmasking solution until boiling is initiated; continue with 10 min at a sub-boiling temperature (95°-98°C). Cool slides on bench top for 30 min.
     
    Staining
    1. Wash sections in dH2O three times for 5 min each.
    2. Incubate sections in 3% hydrogen peroxide for 10 min.
    3. Wash sections in dH2O two times for 5 min each.
    4. Wash sections in wash buffer for 5 min.
    5. Block each section with 100–400 µl of blocking solution for 1 hr at room temperature.
    6. Remove blocking solution and add 100–400 µl primary antibody diluent in to each section. Incubate overnight at 4°C.
    7. Remove antibody solution and wash sections with wash buffer three times for 5 min each.
    8. Cover section with 1–3 drops HRPas needed. Incubate in a humidified chamber for 30 min at room temperature.
    9. Wash sections three times with wash buffer for 5 min each.
    10. Add DAB Chromogen Concentrate to DAB Diluent and mix well before use.
    11. Apply 100–400 µl DAB to each section and monitor closely. 1–10 min generally provides an acceptable staining intensity.
    12. Immerse slides in dH2O.
    13. If desired, counterstain sections with hematoxylin.
    14. Wash sections in dH2O two times for 5 min each.
    15. Dehydrate sections: Incubate sections in 95% ethanol two times for 10 sec each; Repeat in 100% ethanol, incubating sections two times for 10 sec each; Repeat in xylene, incubating sections two times for 10 sec each.
    16. Mount sections with coverslips and mounting medium.
     

    Datasheet & SDS

    生物学的記述

    Specificity

    Collagen VII Antibody [K3G14] detects endogenous levels of total Collagen VII protein.

    タンパク質の局在
    基底膜、細胞外マトリックス、細胞外環境
    Uniprot ID
    Q02388
    Clone
    K3G14
    Synonym(s)
    Collagen alpha-1(VII) chain, Long-chain collagen, LC collagen, COL7A1
    Background
    Collagen VII is a specialized fibrillar collagen primarily responsible for forming anchoring fibrils that stabilize the dermal-epidermal junction in the skin. It is encoded by the COL7A1 gene and is expressed predominantly in epidermal keratinocytes and dermal fibroblasts. Structurally, collagen VII is a homotrimer composed of three pro-α1(VII) chains, each featuring a central triple-helical domain (~1,530 amino acids) interrupted by 19 imperfections, including a protease-sensitive 39-amino acid “hinge” region. This central domain is flanked by two non-collagenous domains: NC-1 at the N-terminus, which contains adhesive modules like fibronectin type III repeats and a von Willebrand factor A domain, and NC-2 at the C-terminus, which includes a Kunitz protease inhibitor-like segment. Two collagen VII molecules assemble into antiparallel dimers stabilized by disulfide bonds and further aggregate into anchoring fibrils. Functionally, collagen VII anchors the basement membrane to the underlying dermis by binding with high affinity to basement membrane components such as laminin-332 and collagen IV, thereby maintaining skin integrity; its mutations cause dystrophic epidermolysis bullosa (DEB), a severe blistering skin disorders.
    References

    技術サポート

    ストックの作り方、阻害剤の保管方法、細胞実験や動物実験の際に注意すべき点など、製品を取扱う時に問い合わせが多かった質問に対しては取扱説明書でお答えしています。

    Handling Instructions

    他に質問がある場合は、お気軽にお問い合わせください。

    * 必須

    大学・企業名を記入してください
    名前を記入してください
    電子メール・アドレスを記入してください 有効なメールアドレスを入力してください
    お問い合わせ内容をご入力ください