DBF4 Antibody [A15L5]

Catalog No.: F3863

    Application: Reactivity:
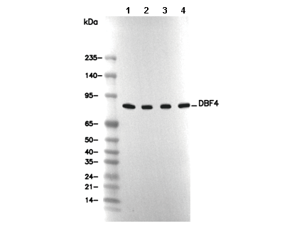
    • Lane 1: PC-3, Lane 2: Jurkat, Lane 3: SW480, Lane 4: HepG2
    1/
    サイズ 価格(税別) 在庫状況
    JPY 17300 国内在庫なし(納期7~10日)
    JPY 40000 国内在庫なし(納期7~10日)
    JPY 64000 お問い合わせ

    代表番号: 045-509-1970|電子メール:sales@selleck.co.jp
    よく尋ねられる質問

    キーポイント

    WB
    推奨WB希釈率: 1:10000

    使用情報

    Dilution
    1:10000 - 1:50000
    Application
    WB
    Source
    Rabbit Monoclonal Antibody
    Reactivity
    Human
    Storage Buffer
    PBS, pH 7.2+50% Glycerol+0.05% BSA+0.01% NaN3
    Storage (from the date of receipt)
    -20°C (avoid freeze-thaw cycles), 2 years
    Predicted MW
    77 kDa
    ポジティブコントロール PC-3 cell; Jurkat cell; SW480 cell; HepG2 cell
    ネガティブコントロール

    プロトコール

    WB
    Experimental Protocol:
     
    Sample preparation
    1. Tissue: Lyse the tissue sample by adding an appropriate volume of ice-cold RIPA/Nuclear Lysis Buffer (containing Protease Inhibitor Cocktail),and homogenize the tissue at a low temperature.
    2. Adherent cell: Aspirate the culture medium and wash the cells with ice-cold PBS twice. Lyse the cells by adding an appropriate volume of RIPA/Nuclear Lysis Buffer (containing Protease Inhibitor Cocktail) and put the sample on ice for 5 min.
    3. Suspension cell: Transfer the culture medium to a pre-cooled centrifuge tube. Centrifuge and aspirate the supernatant. Wash the cells with ice-cold PBS twice. Lyse the cells by adding an appropriate volume of RIPA/Nuclear Lysis Buffer (containing Protease Inhibitor Cocktail) and put the sample on ice for 5 min.
    4. Place the lysate into a pre-cooled microcentrifuge tube. Centrifuge at 4°C for 15 min. Collect the supernatant;
    5. Remove a small volume of lysate to determine the protein concentration;
    6. Combine the lysate with protein loading buffer. Boil 20 µL sample under 95-100°C for 5 min. Centrifuge for 5 min after cool down on ice.
     
    Electrophoretic separation
    1. According to the concentration of extracted protein, load appropriate amount of protein sample and marker onto SDS-PAGE gels for electrophoresis. Recommended separating gel (lower gel) concentration: 10%. Reference Table for Selecting SDS-PAGE Separation Gel Concentrations
    2. Power up 80V for 30 minutes. Then the power supply is adjusted (110 V~150 V), the Marker is observed, and the electrophoresis can be stopped when the indicator band of the predyed protein Marker where the protein is located is properly separated. (Note that the current should not be too large when electrophoresis, too large current (more than 150 mA) will cause the temperature to rise, affecting the result of running glue. If high currents cannot be avoided, an ice bath can be used to cool the bath.)
     
    Transfer membrane
    1. Take out the converter, soak the clip and consumables in the pre-cooled converter;
    2. Activate PVDF membrane with methanol for 1 min and rinse with transfer buffer;
    3. Install it in the order of "black edge of clip - sponge - filter paper - filter paper - glue -PVDF membrane - filter paper - filter paper - sponge - white edge of clip";
    4. The protein was electrotransferred to PVDF membrane. ( 0.45 µm PVDF membrane is recommended ) Reference Table for Selecting PVDF Membrane Pore Size Specifications
    Recommended conditions for wet transfer: 200 mA, 120 min.
    ( Note that the transfer conditions can be adjusted according to the protein size. For high-molecular-weight proteins, a higher current and longer transfer time are recommended. However, ensure that the transfer tank remains at a low temperature to prevent gel melting.)
     
    Block
    1. After electrotransfer, wash the film with TBST at room temperature for 5 minutes;
    2. Incubate the film in the blocking solution for 1 hour at room temperature;
    3. Wash the film with TBST for 3 times, 5 minutes each time.
     
    Antibody incubation
    1. Use 5% skim milk powder to prepare the primary antibody working liquid (recommended dilution ratio for primary antibody 1:10000), gently shake and incubate with the film at 4°C overnight;
    2. Wash the film with TBST 3 times, 5 minutes each time;
    3. Add the secondary antibody to the blocking solution and incubate with the film gently at room temperature for 1 hour;
    4. After incubation, wash the film with TBST 3 times for 5 minutes each time.
     
    Antibody staining
    1. Add the prepared ECL luminescent substrate (or select other color developing substrate according to the second antibody) and mix evenly;
    2. Incubate with the film for 1 minute, remove excess substrate (keep the film moist), wrap with plastic film, and expose in the imaging system.

    Datasheet & SDS

    生物学的記述

    Specificity

    DBF4 Antibody [A15L5] detects endogenous levels of total DBF4 protein.

    タンパク質の局在
    細胞核
    Uniprot ID
    Q9UBU7
    Clone
    A15L5
    Synonym(s)
    ASK, DBF4A, ZDBF1, DBF4, Protein DBF4 homolog A, Activator of S phase kinase, Chiffon homolog A, DBF4-type zinc finger-containing protein 1
    Background
    Dbf4 (Dumbbell former 4 protein) functions as the regulatory subunit of the Cdc7 kinase, a key enzyme involved in numerous chromosomal processes including DNA replication initiation, replication checkpoint activation, meiosis, translesion DNA synthesis, histone regulation, and mitotic exit. While Cdc7 levels remain relatively stable throughout the cell cycle, its kinase activity is strictly dependent on binding to Dbf4. In humans, the homolog of Dbf4 is known as ASK1, and it is a short-lived protein whose expression peaks during late G1 and S phases. Dbf4 is targeted for degradation as cells exit mitosis. Consequently, the activity of the Cdc7-Dbf4 complex is tightly regulated in a cell cycle–dependent manner, reaching maximum activity during the onset of DNA replication and diminishing by the end of mitosis. The physical association between Dbf4 and Cdc7 is essential for the kinase’s function in various DNA-related processes. Although activating Cdc7 is considered Dbf4’s primary role, it also participates in broader cell cycle regulation by interacting with other critical kinases such as Rad53, Cdc5, and others. Through these interactions, Dbf4 contributes to the coordination and progression of multiple phases of the cell cycle.
    References

    技術サポート

    ストックの作り方、阻害剤の保管方法、細胞実験や動物実験の際に注意すべき点など、製品を取扱う時に問い合わせが多かった質問に対しては取扱説明書でお答えしています。

    Handling Instructions

    他に質問がある場合は、お気軽にお問い合わせください。

    * 必須

    大学・企業名を記入してください
    名前を記入してください
    電子メール・アドレスを記入してください 有効なメールアドレスを入力してください
    お問い合わせ内容をご入力ください