PAX8 Antibody [J6L24]

Catalog No.: F2154

    Application: Reactivity:
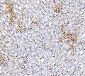
    • Immunohistochemical analysis of formalin fixed paraffin embedded mouse kidney tissue with F2154 at 1:20 dilution. ,
    • Lane 1: Hela
    1/
    サイズ (液体) 価格(税別) 在庫状況
    JPY 27200 国内在庫なし(納期7~10日)
    JPY 68000 国内在庫あり
    JPY 102000 お問い合わせ

    代表番号: 045-509-1970|電子メール:sales@selleck.co.jp
    よく尋ねられる質問

    キーポイント

    WB
    推奨WB希釈率: 1:50
    60秒以上の露光(暴露)を推奨します。

    使用情報

    Dilution
    1:50-1:500
    1:100
    1:50 - 1:100
    1:100
    Application
    WB, IP, IHC, FCM
    Source
    Mouse Monoclonal Antibody
    Reactivity
    Human, Mouse, Rat
    Storage Buffer
    PBS, pH 7.2+50% Glycerol+0.05% BSA+0.01% NaN3
    Storage (from the date of receipt)
    -20°C (avoid freeze-thaw cycles), 2 years
    Predicted MW
    48 kDa

    プロトコール

    WB
    Experimental Protocol:
     
    Sample preparation
    1. Tissue: Lyse the tissue sample by adding an appropriate volume of ice-cold RIPA/Nuclear Lysis Buffer (containing Protease Inhibitor Cocktail),and homogenize the tissue at a low temperature or lyse it by sonication on ice, then incubate on ice for 30 minutes.
    2. Adherent cell: Aspirate the culture medium and transfer the cells into an EP tube. Wash the cells with ice-cold PBS twice. Add an appropriate volume of RIPA/Nuclear Lysis Buffer (containing Protease Inhibitor Cocktail), sonicate to lyse the cells, and incubate on ice for 30 minutes.
    3. Suspension cell: Transfer the culture medium to a pre-cooled centrifuge tube. Centrifuge and aspirate the supernatant. Wash the cells with ice-cold PBS twice.Add an appropriate volume of RIPA/Nuclear Lysis Buffer (containing Protease Inhibitor Cocktail), sonicate to lyse the cells, and incubate on ice for 30 minutes.
    4. Place the lysate into a pre-cooled microcentrifuge tube. Centrifuge at 4°C for 15 min. Collect the supernatant;
    5. Remove a small volume of lysate to determine the protein concentration;
    6. Combine the lysate with protein loading buffer. Boil 20 µL sample under 95-100°C for 5 min. Centrifuge for 5 min after cool down on ice.
     
    Electrophoretic separation
    1. According to the concentration of extracted protein, load appropriate amount of protein sample and marker onto SDS-PAGE gels for electrophoresis. Recommended separating gel (lower gel) concentration: 10%. Reference Table for Selecting SDS-PAGE Separation Gel Concentrations
    2. Power up 80V for 30 minutes. Then the power supply is adjusted (110 V~150 V), the Marker is observed, and the electrophoresis can be stopped when the indicator band of the predyed protein Marker where the protein is located is properly separated. (Note that the current should not be too large when electrophoresis, too large current (more than 150 mA) will cause the temperature to rise, affecting the result of running glue. If high currents cannot be avoided, an ice bath can be used to cool the bath.)
     
    Transfer membrane
    1. Take out the converter, soak the clip and consumables in the pre-cooled converter;
    2. Activate PVDF membrane with methanol for 1 min and rinse with transfer buffer;
    3. Install it in the order of "black edge of clip - sponge - filter paper - filter paper - glue -PVDF membrane - filter paper - filter paper - sponge - white edge of clip";
    4. The protein was electrotransferred to PVDF membrane. ( 0.45 µm PVDF membrane is recommended ) Reference Table for Selecting PVDF Membrane Pore Size Specifications
    Recommended conditions for wet transfer: 200 mA, 120 min.
    ( Note that the transfer conditions can be adjusted according to the protein size. For high-molecular-weight proteins, a higher current and longer transfer time are recommended. However, ensure that the transfer tank remains at a low temperature to prevent gel melting.)
     
    Block
    1. After electrotransfer, wash the film with TBST at room temperature for 5 minutes;
    2. Incubate the film in the blocking solution for 1 hour at room temperature;
    3. Wash the film with TBST for 3 times, 5 minutes each time.
     
    Antibody incubation
    1. Use 5% skim milk powder to prepare the primary antibody working liquid (recommended dilution ratio for primary antibody 1:50), gently shake and incubate with the film at 4°C overnight;
    2. Wash the film with TBST 3 times, 5 minutes each time;
    3. Add the secondary antibody to the blocking solution and incubate with the film gently at room temperature for 1 hour;
    4. After incubation, wash the film with TBST 3 times for 5 minutes each time.
     
    Antibody staining
    1389. Add the prepared ECL luminescent substrate (or select other color developing substrate according to the second antibody) and mix evenly;
    2. Incubate with the film for 1 minute, remove excess substrate (keep the film moist), wrap with plastic film, and expose in the imaging system. (Exposure time of at least 60s is recommended)

    Datasheet & SDS

    生物学的記述

    Specificity

    PAX8 Antibody [J6L24] recognizes endogenous levels of total PAX8 protein.

    タンパク質の局在
    細胞核
    Clone
    J6L24
    Background

    PAX8 is a transcription factor belonging to the paired box (PAX) gene family, essential for embryonic development, particularly in the thyroid gland, kidney, Müllerian system, and thymus. Structurally, PAX8 contains an N-terminal DNA-binding domain—comprising a paired box region with two subdomains (PAI and RED), an octapeptide, and a truncated homeodomain—and a C-terminal transactivation domain. The PAX8 gene, located on chromosome 2q14.1, produces six splice variants (a–f) through alternative splicing, all retaining the DNA-binding domain. PAX8A is the predominant isoform in late embryonic and adult stages. Expression of PAX8 is tissue-specific, found in the thyroid, kidney, placenta, and adult Müllerian-derived tissues such as the uterus, fallopian tubes, and cervix. Functionally, PAX8 regulates the transcription of genes crucial for organogenesis, cellular differentiation, and hormone production, particularly in the thyroid. While vital during development, PAX8 expression persists in some adult tissues and can acquire oncogenic functions upon cellular transformation, linking developmental pathways to tumorigenesis.

    References

    技術サポート

    ストックの作り方、阻害剤の保管方法、細胞実験や動物実験の際に注意すべき点など、製品を取扱う時に問い合わせが多かった質問に対しては取扱説明書でお答えしています。

    Handling Instructions

    他に質問がある場合は、お気軽にお問い合わせください。

    * 必須

    大学・企業名を記入してください
    名前を記入してください
    電子メール・アドレスを記入してください 有効なメールアドレスを入力してください
    お問い合わせ内容をご入力ください