PSMB5 Antibody [F16L3]

Catalog No.: F1421

    Application: Reactivity:
    • Lane 1: K-562 , Lane 2: RPMI 8226 , Lane 3: A498 , Lane 4: Caki-1 , Lane 5: MCF7 , Lane 6: T-47D , Lane 7: Hepa1-6 , Lane 8: Neuro 2a , Lane 9: H-A-II-E , Lane 10: COS-7
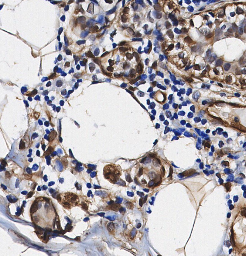
    • Immunohistochemical analysis of formalin fixed paraffin embedded human Breast Cancer tissue with F1421 at 1/100 dilution.
    1/
    サイズ (液体) 価格(税別) 在庫状況
    JPY 18400 国内在庫あり
    JPY 60800 国内在庫あり
    JPY 91200 お問い合わせ

    代表番号: 045-509-1970|電子メール:sales@selleck.co.jp
    よく尋ねられる質問

    キーポイント

    WB
    転写条件(ウェット): 200 mA, 60 min

    使用情報

    Dilution
    1:1000
    Application
    WB
    Source
    Rabbit Monoclonal Antibody
    Reactivity
    Human, Mouse, Rat, Monkey
    Storage Buffer
    PBS, pH 7.2+50% Glycerol+0.05% BSA+0.01% NaN₃
    Storage (from the date of receipt)
    –20°C (avoid freeze-thaw cycles), 2 years
    Predicted MW
    22, 28kDa
    ポジティブコントロール K-562; RPMI 8226; A498; Caki-1; MCF-7; T-47D; Hepa1-6; Neuro 2a; H-A-II-E; COS-7; Hela; 293T (transfected with hPSMB5-Myc/DDK); 293T (transfected with hPSMB8-Myc/DDK)
    ネガティブコントロール

    サンプル処理データの例

    サンプル 処理状況
    293T Transfection (hPSMB5-Myc/DDK)
    293T Transfection (hPSMB8-Myc/DDK)
    クリックして、さらに多くのサンプルデータを表示

    *異なるヒト由来細胞や組織における発現量の予測については、以下をご参照ください: http://www.proteinatlas.org

    プロトコール

    WB
    Experimental Protocol:
     
    Sample preparation
    1. Tissue: Lyse the tissue sample by adding an appropriate volume of ice-cold RIPA/NP-40 Lysis Buffer (containing Protease Inhibitor Cocktail),and homogenize the tissue at a low temperature or lyse it by sonication on ice, then incubate on ice for 30 minutes.
    2. Adherent cell: Aspirate the culture medium and transfer the cells into an EP tube. Wash the cells with ice-cold PBS twice. Add an appropriate volume of RIPA/NP-40 Lysis Buffer (containing Protease Inhibitor Cocktail), sonicate to lyse the cells, and incubate on ice for 30 minutes.
    3. Suspension cell: Transfer the culture medium to a pre-cooled centrifuge tube. Centrifuge and aspirate the supernatant. Wash the cells with ice-cold PBS twice.Add an appropriate volume of RIPA/NP-40 Lysis Buffer (containing Protease Inhibitor Cocktail), sonicate to lyse the cells, and incubate on ice for 30 minutes.
    4. Place the lysate into a pre-cooled microcentrifuge tube. Centrifuge at 4°C for 15 min. Collect the supernatant;
    5. Remove a small volume of lysate to determine the protein concentration;
    6. Combine the lysate with protein loading buffer. Boil 20 µL sample under 95-100°C for 5 min. Centrifuge for 5 min after cool down on ice.
     
    Electrophoretic separation
    1. According to the concentration of extracted protein, load appropriate amount of protein sample and marker onto SDS-PAGE gels for electrophoresis. Recommended separating gel (lower gel) concentration: 10%. Reference Table for Selecting SDS-PAGE Separation Gel Concentrations
    2. Power up 80V for 30 minutes. Then the power supply is adjusted (110 V~150 V), the Marker is observed, and the electrophoresis can be stopped when the indicator band of the predyed protein Marker where the protein is located is properly separated. (Note that the current should not be too large when electrophoresis, too large current (more than 150 mA) will cause the temperature to rise, affecting the result of running glue. If high currents cannot be avoided, an ice bath can be used to cool the bath.)
     
    Transfer membrane
    1. Take out the converter, soak the clip and consumables in the pre-cooled converter;
    2. Activate PVDF membrane with methanol for 1 min and rinse with transfer buffer;
    3. Install it in the order of "black edge of clip - sponge - filter paper - filter paper - glue -PVDF membrane - filter paper - filter paper - sponge - white edge of clip";
    4. The protein was electrotransferred to PVDF membrane. ( 0.45 µm PVDF membrane is recommended ) Reference Table for Selecting PVDF Membrane Pore Size Specifications
    Recommended conditions for wet transfer: 200 mA, 60 min.
    ( Note that the transfer conditions can be adjusted according to the protein size. For high-molecular-weight proteins, a higher current and longer transfer time are recommended. However, ensure that the transfer tank remains at a low temperature to prevent gel melting.)
     
    Block
    1. After electrotransfer, wash the film with TBST at room temperature for 5 minutes;
    2. Incubate the film in the blocking solution for 1 hour at room temperature;
    3. Wash the film with TBST for 3 times, 5 minutes each time.
     
    Antibody incubation
    1. Use 5% skim milk powder to prepare the primary antibody working liquid (recommended dilution ratio for primary antibody 1:1000), gently shake and incubate with the film at 4°C overnight;
    2. Wash the film with TBST 3 times, 5 minutes each time;
    3. Add the secondary antibody to the blocking solution and incubate with the film gently at room temperature for 1 hour;
    4. After incubation, wash the film with TBST 3 times for 5 minutes each time.
     
    Antibody staining
    659. Add the prepared ECL luminescent substrate (or select other color developing substrate according to the second antibody) and mix evenly;
    2. Incubate with the film for 1 minute, remove excess substrate (keep the film moist), wrap with plastic film, and expose in the imaging system.

    Datasheet & SDS

    生物学的記述

    Specificity

    PSMB5 Antibody [F16L3] recognizes endogenous levels of total PSMB5 protein. This antibody reacts with precursor and mature forms of PSMB5. This antibody does not cross-react with PSMB8.

    タンパク質の局在
    細胞質、細胞核、プロテアソーム
    Uniprot ID
    P28074
    Clone
    F16L3
    Synonym(s)
    PSMB5,MB1
    Background

    The 26S proteasome is composed of the 20S proteasome and 19S regulatory particles, with PSMB5 being a core subunit of the 20S proteasome. PSMB5 is involved in antigen presentation and oxidative stress and is closely related to the abundance of B cells, CD4+ T cells, CD8+ T cells, dendritic cells, macrophages, and neutrophils. PSMB5 may serve as a biomarker for the diagnosis and prognosis of HCC. Additionally, PSMB5 plays a tumor-promoting role in various cancers, including breast cancer, esophageal squamous cell carcinoma, and prostate cancer. Aberrant expression of PSMB5 is associated with tumor cell proliferation, metastasis, and drug resistance.

    References

    技術サポート

    ストックの作り方、阻害剤の保管方法、細胞実験や動物実験の際に注意すべき点など、製品を取扱う時に問い合わせが多かった質問に対しては取扱説明書でお答えしています。

    Handling Instructions

    他に質問がある場合は、お気軽にお問い合わせください。

    * 必須

    大学・企業名を記入してください
    名前を記入してください
    電子メール・アドレスを記入してください 有効なメールアドレスを入力してください
    お問い合わせ内容をご入力ください