TSH Receptor/TSH-R Antibody [L10M22]

Catalog No.: F3696

    Application: Reactivity:
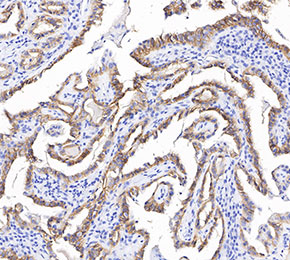
    • Immunohistochemical analysis of formalin fixed paraffin embedded human thyroid gland tissue with F3696 at 1:1000 dilution.
    1/
    サイズ 価格(税別) 在庫状況
    JPY 17300 国内在庫なし(納期7~10日)
    JPY 40000 国内在庫なし(納期7~10日)
    JPY 64000 お問い合わせ

    代表番号: 045-509-1970|電子メール:sales@selleck.co.jp
    よく尋ねられる質問

    使用情報

    Dilution
    1:1000
    Application
    IHC
    Source
    Rabbit Monoclonal Antibody
    Reactivity
    Human
    Storage Buffer
    PBS, pH 7.2+50% Glycerol+0.05% BSA+0.01% NaN3
    Storage (from the date of receipt)
    -20°C (avoid freeze-thaw cycles), 2 years
    ポジティブコントロール Human thyroid; Human follicular thyroid adenocarcinoma; Human papillary thyroid adenocarcinoma
    ネガティブコントロール Human colon; Human gastric cancer

    プロトコール

    IHC
    Experimental Protocol:
     
    Deparaffinization/Rehydration
    1. Deparaffinize/hydrate sections:
    2. Incubate sections in three washes of xylene for 5 min each.
    3. Incubate sections in two washes of 100% ethanol for 10 min each.
    4. Incubate sections in two washes of 95% ethanol for 10 min each.
    5. Wash sections two times in dH2O for 5 min each.
    6.Antigen retrieval: For Citrate: Heat slides in a microwave submersed in 1X citrate unmasking solution until boiling is initiated; continue with 10 min at a sub-boiling temperature (95°-98°C). Cool slides on bench top for 30 min.
     
    Staining
    1. Wash sections in dH2O three times for 5 min each.
    2. Incubate sections in 3% hydrogen peroxide for 10 min.
    3. Wash sections in dH2O two times for 5 min each.
    4. Wash sections in wash buffer for 5 min.
    5. Block each section with 100–400 µl of blocking solution for 1 hr at room temperature.
    6. Remove blocking solution and add 100–400 µl primary antibody diluent in to each section. Incubate overnight at 4°C.
    7. Remove antibody solution and wash sections with wash buffer three times for 5 min each.
    8. Cover section with 1–3 drops HRPas needed. Incubate in a humidified chamber for 30 min at room temperature.
    9. Wash sections three times with wash buffer for 5 min each.
    10. Add DAB Chromogen Concentrate to DAB Diluent and mix well before use.
    11. Apply 100–400 µl DAB to each section and monitor closely. 1–10 min generally provides an acceptable staining intensity.
    12. Immerse slides in dH2O.
    13. If desired, counterstain sections with hematoxylin.
    14. Wash sections in dH2O two times for 5 min each.
    15. Dehydrate sections: Incubate sections in 95% ethanol two times for 10 sec each; Repeat in 100% ethanol, incubating sections two times for 10 sec each; Repeat in xylene, incubating sections two times for 10 sec each.
    16. Mount sections with coverslips and mounting medium.
     

    Datasheet & SDS

    生物学的記述

    Specificity

    TSH Receptor/TSH-R Antibody [L10M22] detects endogenous levels of total TSH Receptor/TSH-R protein.

    タンパク質の局在
    細胞膜、細胞内膜系
    Uniprot ID
    P16473
    Clone
    L10M22
    Synonym(s)
    LGR3, TSHR, Thyrotropin receptor, Thyroid-stimulating hormone receptor, TSH-R
    Background
    The thyroid-stimulating hormone receptor (TSHR) is a key regulator of thyroid hormone metabolism and serves as a primary controller of thyroid cell function and growth. It belongs to the family of G-protein-coupled receptors with seven transmembrane domains and is positioned on the basolateral membrane of thyroid follicular cells. The TSHR protein is composed of 764 amino acids, has a molecular weight of approximately 87 kDa, and mediates its effects through interaction with multiple G protein subtypes—most notably Gαs and Gαq. Upon activation by TSH, the receptor initiates intracellular signaling through these G proteins, thereby modulating the activity of downstream effector molecules. The Gαs pathway stimulates the cyclic adenosine monophosphate (cAMP) cascade, while the Gαq pathway activates the phospholipase C (PLC) cascade. At elevated TSH concentrations, cAMP binds to protein kinase A (PKA), which phosphorylates various target effectors, enhancing their catalytic activity. In parallel, PLC activation generates inositol 1,4,5-triphosphate (IP₃) and diacylglycerol (DAG), further amplifying cellular responses. TSHR expression is positively regulated by physiological TSH levels but downregulated at persistently high TSH concentrations. Chronic overstimulation of TSHR, particularly through the cAMP pathway, can lead to excessive thyroid hormone secretion, thyroid follicular hyperplasia, and clinical hyperthyroidism. Mutations in the TSHR gene may affect the receptor’s protein structure or its post-translational modifications, thereby altering receptor function. Although TSHR does not directly initiate carcinogenesis, it can significantly contribute to tumor growth when oncogenes are already activated.
    References

    技術サポート

    ストックの作り方、阻害剤の保管方法、細胞実験や動物実験の際に注意すべき点など、製品を取扱う時に問い合わせが多かった質問に対しては取扱説明書でお答えしています。

    Handling Instructions

    他に質問がある場合は、お気軽にお問い合わせください。

    * 必須

    大学・企業名を記入してください
    名前を記入してください
    電子メール・アドレスを記入してください 有効なメールアドレスを入力してください
    お問い合わせ内容をご入力ください