A-1210477

A-1210477 is a potent and selective MCL-1 inhibitor with Ki and IC50 of 0.454 nM and 26.2 nM, respectively, >100-fold selectivity over other Bcl-2 family members.

A-1210477化学構造

CAS No. 1668553-26-1

サイズ 価格(税別) 在庫状況
JPY 22000 国内在庫あり
JPY 71500 国内在庫あり
JPY 145500 国内在庫あり
JPY 598500 国内在庫なし(納期7~10日)

代表番号: 045-509-1970|電子メール:sales@selleck.co.jp
よく尋ねられる質問

文献中Selleckの製品使用例(50)

製品安全説明書

現在のバッチを見る: 純度: 99.95%
99.95

A-1210477関連製品

シグナル伝達経路

Bcl-2阻害剤の選択性比較

Cell Data

Cell Lines Assay Type Concentration Incubation Time 活性情報 PMID
human H23 cells Cytotoxicity assay 24 hrs Cytotoxicity against human H23 cells incubated for 24 hrs by CCK8 assay 31389699
他の多くの細胞株試験データをご覧になる場合はこちらをクリックして下さい

生物活性

製品説明 A-1210477 is a potent and selective MCL-1 inhibitor with Ki and IC50 of 0.454 nM and 26.2 nM, respectively, >100-fold selectivity over other Bcl-2 family members.
Targets
MCL-1 [1]
(Cell-free assay)
26.2 nM
In Vitro
In vitro In H929 cells, A-1210477 binds to MCL-1 with high affinity and induces MCL-1 protein elevation. In H929, H2110, and H23 cells, this compound induces the hallmarks of apoptosis, and inhibits MCL-1-dependent cell viability. It also synergizes with navitoclax to kill a variety of cancer cell lines. [1] In SKBR3 cells, this chemical inhibits MCL-1–BIM interaction and induces classical features of apoptosis. [2] In addition, it sensitizes non-Hodgkin's lymphoma cell lines to venetoclax (ABT-199). [3]
Kinase Assay Binding affinity assays
TR-FRET-binding affinity assays are performed for BCL-2, BCL-XL, and MCL-1 in 4.52 mM monobasic potassium phosphate, 15.48 mM dibasic potassium phosphate, 1 mM sodium EDTA, 0.05% Pluronic F-68 detergent, 50 mM sodium chloride, and 1 mM DTT (pH 7.5). For MCL-1 assays, GST-tagged MCL-1 (1 nM) is mixed with 100 nM f-Bak, 1 nM Tb-labeled anti-GST antibody, and this compound at room temperature (RT) for 60 min. Fluorescence is measured on an Envision plate reader using a 340/35 nm excitation filter and 520/525 (f-Bak) and 495/510 nm (Tb-labeled anti-GST antibody) emission filters.
細胞実験 細胞株 H929, H2110, and H23 cells
濃度 ~30 μM
反応時間 48 h or 72 h
実験の流れ Adherent cell lines are seeded at 50 000 cells per well in 96-well plates and treated for 48 h with compounds diluted in half-log steps starting at 30 μM and ending at 0.001 μM. Multiple myeloma cell lines were seeded at 15 000–20 000 cells per well and treated similarly. Effects on proliferation and viability were determined using CellTiter-Glo reagent according to the manufacturer’s instructions. IC50 values are determined by non-linear regression analysis of the concentration response data.
実験結果図 Methods Biomarkers 結果図 PMID
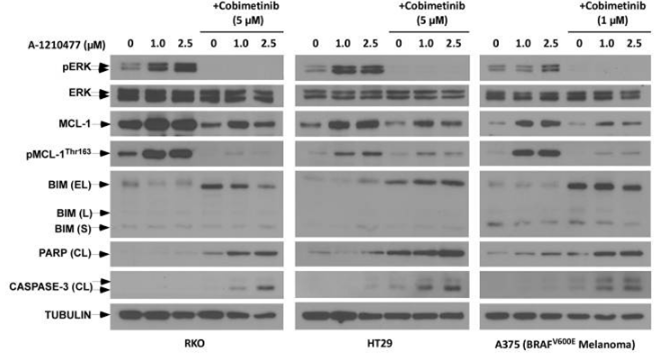
Western blot Mcl-1 PARP / MEK / Cyt c/ Tom20 pERK / ERK / p-MCL1 / Caspase-3 S7790-WB1.gif 30796196
  • https://pubmed.ncbi.nlm.nih.gov/25590800/
  • https://pubmed.ncbi.nlm.nih.gov/26013319/
  • https://pubmed.ncbi.nlm.nih.gov/26565405/

化学情報

分子量 850.04 化学式

C46H55N7O7S

CAS No. 1668553-26-1 SDF Download A-1210477 SDFをダウンロードする
Smiles CC1=NN(C(=C1C2=CC=CC3=C2N(C(=C3CCCOC4=CC=CC5=CC=CC=C54)C(=O)O)CCN6CCOCC6)COC7=CC=C(C=C7)N8CCN(CC8)S(=O)(=O)N(C)C)C
保管

In vitro
Batch:

DMSO : 3 mg/mL ( (3.52 mM); 吸湿したDMSOは溶解度を減少させます。新しいDMSOをご使用ください。)

Water : Insoluble

Ethanol : Insoluble

モル濃度計算器

in vivo
Batch:

Add solvents to the product individually and in order.

投与溶液組成計算機

実験計算

モル濃度計算器

質量 濃度 体積 分子量

投与溶液組成計算機(クリア溶液)

ステップ1:実験データを入力してください。(実験操作によるロスを考慮し、動物数を1匹分多くして計算・調製することを推奨します)

mg/kg g μL

ステップ2:投与溶媒の組成を入力してください。(ロット毎に適した溶解組成が異なる場合があります。詳細については弊社までお問い合わせください)

% DMSO % % Tween 80 % ddH2O
%DMSO %

計算結果:

投与溶媒濃度: mg/ml;

DMSOストック溶液調製方法: mg 試薬を μL DMSOに溶解する(濃度 mg/mL, 注:濃度が当該ロットのDMSO溶解度を超える場合はご連絡ください。 )

投与溶媒調製方法:Take μL DMSOストック溶液に μL PEG300,を加え、完全溶解後μL Tween 80,を加えて完全溶解させた後 μL ddH2O,を加え完全に溶解させます。

投与溶媒調製方法:μL DMSOストック溶液に μL Corn oil,を加え、完全溶解。

注意:1.ストック溶液に沈殿、混濁などがないことをご確認ください;
2.順番通りに溶剤を加えてください。次のステップに進む前に溶液に沈殿、混濁などがないことを確認してから加えてください。ボルテックス、ソニケーション、水浴加熱など物理的な方法で溶解を早めることは可能です。

技術サポート

ストックの作り方、阻害剤の保管方法、細胞実験や動物実験の際に注意すべき点など、製品を取扱う時に問い合わせが多かった質問に対しては取扱説明書でお答えしています。

Handling Instructions

他に質問がある場合は、お気軽にお問い合わせください。

* 必須

大学・企業名を記入してください
名前を記入してください
電子メール・アドレスを記入してください 有効なメールアドレスを入力してください
お問い合わせ内容をご入力ください